Aller au contenu

Un métier, un portrait - Au cœur de la machine. De l'ingénierie IRM à la recherche clinique

Pour ce septième épisode, focus sur un métier janus : manipulateur radio et ingénieur de recherche clinique. Fanny Munsch travaille au bâtiment de Bio-imagerie (IBIO) près du CHU de Pellegrin. Affectée à l'IRM Canon 3 Tesla du bâtiment, elle a à connaître de l'ensemble du circuit IRM : du contrôle qualité du signal à l'analyse des images, en passant par les examens des patients participant aux études cliniques ou l'optimisation et la programmation de séquences, elle raconte ici un métier varié au cœur de la machine.

Publiée le

Poste : 50% ingénieur de recherche en IRM, BAP A / 50 % manipulatrice radio sur IRM Canon 3T 60 cm (CDD)

Lieu : Bâtiment IBIO, 3 personnes 

Employeur : université de Bordeaux avec partenariat Canon (reversement de 50% du salaire)

Arrivée : septembre 2022

Personnel : BIATSS (bibliothèques, ingénieurs, administratifs, techniques et sociaux et de santé

Fanny Munsch est ingénieure de recherche clinique à l'IBIO depuis plus de 3 ans. Recrutée par l'université de Bordeaux en partenariat avec l'entreprise japonaise Canon, elle s'attèle à la fois au perfectionnement technique de l'imageur et au scan des patients ainsi qu'à l'analyse des clichés obtenus dans le cadre de divers protocoles de recherche. Passionnée par les images et animée par son affection pour les patients qu'elle accompagne dans l'IRM, Fanny raconte son quotidien au plus près des avancées technologiques visant à améliorer le traitement de pathologies neurologiques.

  • En quelques mots, pouvez-vous décrire votre métier ?

Je travaille à l'Institut de Bio-Imagerie (IBIO), un bâtiment situé sur le campus de Carreire qui jouxte le CHU de Pellegrin. Ce bâtiment est dirigé par le professeur Vincent Dousset, chef du pôle d’imagerie du CHU de Bordeaux, qui est mon supérieur hiérarchique. Il héberge la plateforme de Bio-Imagerie (piBIO) dirigée par Sylvain Miraux, chercheur CNRS, qui dirige également le Centre de Résonance Magnétique des Systèmes Biologiques (CRMSB) qui se trouve au 1er étage. Le bâtiment comme la plateforme dépendent tous deux du département Sciences et Technologies pour la Santé. A l'IBIO, je travaille en collaboration avec Thomas Tourdias, professeur des universités et praticien hospitalier (PU-PH) au Neurocentre Magendie et chef du service de neuroimagerie du CHU de Bordeaux. Thomas a été co-porteur du RRI IMPACT affilié à STS, qui vient de se terminer, et au sein duquel j'ai pu intervenir.

Au sein de cette équipe, j'ai un poste un peu particulier. Pour simplifier la description de mon poste, je dirais que je suis vraiment attachée à l'IRM 3 Tesla (3T) Canon qui se trouve au sous-sol du bâtiment IBIO. Je suis donc employée par l'université et la moitié de mon salaire provient de l'entreprise japonaise Canon, dans le cadre d’un partenariat signé en 2017 entre l'établissement et l'industriel. Canon a en effet mis à disposition une IRM 3T dernière génération et investit des ressources ingénieurs pour bénéficier des travaux académiques de notre site universitaire. Les chercheurs bordelais qui utilisent cet équipement participent à son amélioration et à sa visibilité via les publications dans un secteur hautement compétitif et dominé historiquement par les 3 vendeurs les plus anciens ; i.e ; Siemens, GE HealthCare Imaging et Philips. L’entreprise Canon Medical a racheté Toshiba Medical Corp en 2016 et est bien implantée en Asie mais cherche à accroitre sa visibilité à travers des partenariats stratégiques avec des sites experts dont Bordeaux fait partie.

Mon travail est ainsi totalement associé à cet appareil mais mon poste se scinde en deux fonctions. Tout d'abord, je suis pour moitié manipulatrice radio c'est-à-dire que je m'occupe de l'acquisition d'images sur l'IRM Canon 3T du bâtiment dans le cadre de protocoles de recherche clinique. C'est moi qui fais les examens. Je reçois ici des patients qui participent à des études cliniques et qui sont atteints de sclérose en plaques (SEP), d'Alzheimer, de Parkinson ou encore qui ont été victimes de petits anévrismes. Je fais aussi un peu d'expérimentation animale puisque la machine est adaptée et agrée. On mène des travaux sur des modèles chez le singe et le lapin. Cette partie de mon travail, pour laquelle mon salaire est payé par Canon, implique aussi que je m'occupe de l'IRM et que je sois donc en contact régulier avec les ingénieurs de l'industriel. Je fais pour eux de l'optimisation d'images pour les nouveaux protocoles IRM. Ma tâche peut ainsi d'être d'installer des nouvelles séquences développées par Canon mais non encore programmées sur la machine. Je les teste sur des volontaires sains pour voir si les données obtenues correspondent à ce qui est décrit dans la littérature, si les images sont de qualité, les informations recherchées obtenues... En fonction, on affine et on perfectionne en lien avec le siège au Japon. Une fois la séquence optimisée et programmée sur l'imageur, elle peut être utilisée pour les études cliniques et donc sur des patients. Aussi, s'il y a un problème sur l'IRM c'est à moi que revient la tâche de le résoudre. Par exemple, en cas de signal d’alarme pour telle ou telle raison, je dois contacter le technicien Canon pour qu'il résolve le problème. De même, si on a un souci avec la climatisation de la salle IRM oui l’acheminement d’eau froide pour refroidir l’IRM, c'est à moi de trouver une solution. On peut se retrouver en effet avec une salle dont la température descend sans raison apparente à 18° voire à 13°, ce qui est trop froid pour les patients, ou qui monte à 25° ce qui est à l'inverse beaucoup trop chaud pour la machine.

L'autre moitié de mon poste est dédiée à la recherche. Je prends alors la casquette d'ingénieure de recherche et j'écris des papiers sur des études que coordonne généralement Thomas Tourdias ou les cliniciens utilisateurs de l’IRM Canon. Là, par exemple, j'ai soumis un article en tant que dernier auteur sur la problématique de l'obésité et son impact sur les neurotransmetteurs du cerveau. Je fais aussi des études sur la moëlle épinière dans des pathologies comme la SEP. Pour résumer, je participe à toutes les études qui nécessitent de faire de l'analyse d'images obtenues via le Canon 3T. Sur cette partie de mes activités, et à la différence de la précédente, je ne fais pas du tout de manip. C'est encore de la recherche clinique mais je ne fais pas du tout de temps machine : je participe vraiment à étudier les informations issues des clichés IRM et à la réflexion autour de leur optimisation et de leur interprétation. Techniquement manip radio et ingénieur de recherche ne sont donc pas le même métier. Il y a une partie de ma fiche de poste qui est totalement consacrée à la manipulation de l'appareil et une autre qui implique que je fasse du support à la recherche indépendamment de l'IRM en tant que tel.

A terme, il est possible que mon poste s'enrichisse d'une troisième mission cette fois-ci purement clinique. On a en effet le projet d'ouvrir l'accès à l'IRM Canon à partir de septembre 2026 aux patients stables atteints de pathologies psychiatriques. Ce n'est pas moi qui ferai passer les patients dans la machine car il faut un professionnel formé pour le faire mais par contre je ferai de la volumétrie et de la connectivité et j'aiderai à l’extraction de données quantitatives qui pourront venir enrichir les comptes-rendus à destination des psychiatres. 

Pour résumer, hormis le développement de séquences qui est le propre des physiciens, je m'occupe de tous le circuit IRM, de la programmation des protocoles à la recherche clinique en passant par le temps machine et les examens de patients.

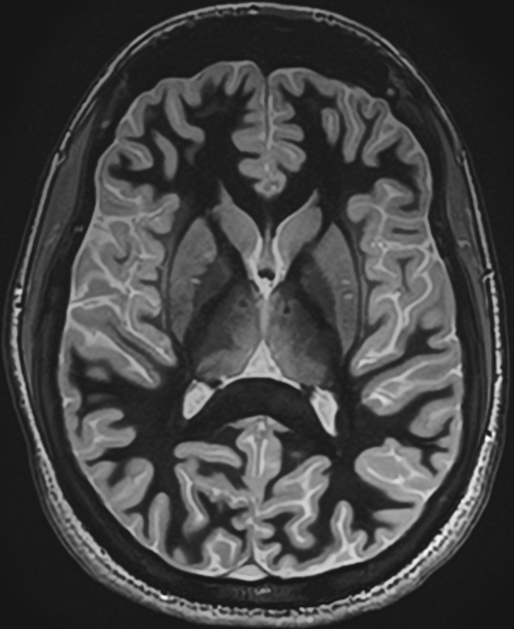
Image : WMn MPRAGE, séquence développée par Thomas Tourdias pour le thalamus. Crédits photo, Thomas Tourdias et Fanny Munsch

Quand j'arrive à sortir de belles images, je suis heureuse de voir que non seulement les médecins sont satisfaits mais aussi que les patients sont contents.

  • Comment en êtes-vous arrivée à exercer cette profession ? 

J'ai fait un Baccalauréat scientifique avec une spécialité SVT. Une fois le diplôme en poche, j'ai tout d'abord hésité à rentrer en première année de médecine mais j'appréhendais un peu ce cursus. Comme j'adorais ma prof de biologie de terminale, j'ai finalement décidé de suivre son exemple et de faire une prépa Biologie, Chimie, Physique, Sciences de la Terre (BCPST). Je suis alors partie à Lyon ce qui n'a pas été simple. C'est une très grande ville et venant d'un petit village franc-comtois j'ai eu du mal à m'adapter au manque de nature et à l'éloignement de ma famille. A l'issue des deux années de formation, je ne voulais pas recommencer au début en reprenant des études de médecine. C'est là que j'ai découvert le métier d'ingénieur biomédical. Ce métier conduit à travailler sur tous types de matériel utilisé dans le médical. J'ai ainsi des amis qui exercent sur des moniteurs au bloc, d'autres qui gèrent tout le parc d'équipements d'établissements hospitaliers ou encore certains qui ont intégré des entreprises de fabrication d'échographes par exemple. J'ai été acceptée sur dossier dans une école à Marseille où j'ai pu me spécialiser dans ce domaine de l'ingénierie biomédicale.

J'ai fait mon stage de fin d'études chez GE HealthCare, un vendeur d'imageurs. J'avais en effet découvert durant ma formation l'IRM et je suis tombée amoureuse des belles images ! Ce stage, je l'ai réalisé aux côtés d'un ingénieur application avancée en IRM fœtal mais j'ai aussi fait un peu de cerveau durant cette période. Pendant ce stage, j'ai été déléguée par l'entreprise à l'hôpital Necker à Paris auprès d'une neuroradiologue. Elle voulait en effet faire de la recherche avec l'IRM de GE et donc l'industriel a décidé de m'envoyer en tant qu'ingénieur application pour assister la chercheuse dans ses travaux. Je travaillais donc sur site et en contact avec la recherche ce que j'ai vraiment beaucoup aimé. C’est là que j'ai décidé de faire quelque chose d'original du point de vue de mon parcours : je suis partie en thèse de neurosciences à Bordeaux. 

En effet, Vincent Dousset a contacté mon tuteur de stage à GE car il recherchait un ingénieur pour l'aider à travailler sur des protocoles SEP. J'ai fait savoir que cela m'intéressait mais que je voulais un poste un peu stable et donc sur plusieurs années. Cela correspondait aussi aux objectifs de Vincent Dousset et de Thomas Tourdias qui travaillait avec lui. Ils voulaient recruter quelqu'un qui serait certain de rester sur toute la période de l'étude. C'est comme ça que je suis arrivée en thèse à Bordeaux dans l'équipe de Vincent Dousset. Mon travail portait alors sur l'AVC. En parallèle, j'étais ingénieure pour le professeur Brochet, à l'époque chef de service de neurologie inflammatoire, sur différents protocoles de SEP. Après ma soutenance, je suis restée un peu à Bordeaux car on pensait pouvoir breveter la méthode que l'on avait mise au point pour la localisation de l'AVC. J'ai donc travaillé quelque mois pour la SATT. A la suite d'un déplacement à Boston, aux Etats-Unis, pour présenter nos recherches sur cette question, j'ai eu l'opportunité de faire un post-doc d'un an au sein du département de neurologie du Beth Israel Deaconess Medical Center rattaché à Harvard Medical School.

Ce département ne gérait cependant pas l'IRM de recherche qui dépendait du département de radiologie, ce qui ne me convenait pas tout à fait. Comme je m'entendais très bien avec la manip, elle m'a dit qu'un de leur post-doc s'en allait. Je suis donc allée voir le chef du département de radiologie pour postuler et j'ai été recrutée comme post-doc, poste sur lequel je suis restée pendant 4 ans et demi. Ce sont mes meilleures années, j'ai adoré Boston. Je venais même d'obtenir un visa de travail qui m'aurait permis de rester sur du long terme aux Etats-Unis mais le Covid est arrivé. Nous n'étions pas confinés à Boston mais le fait de ne pas pouvoir rentrer en France pendant un an et demi m'a vraiment affectée. Heureusement, en 2022, j'ai eu la chance de tomber sur Thomas lors d'un congrès à Londres où j'ai pu lui dire que je souhaitais rentrer. Il m'a trouvé un poste en une semaine ! En fait les planètes se sont alignées. A ce moment-là, à l'IBIO, il y avait un manip radio à 100% sur la machine mais Thomas souhaitait le redéfinir 50% manip / 50% ingénieur de recherche en accord avec l'université et l'industriel. Le deal me plaisait bien même si je n'étais pas à 100% sur la recherche. Cela me disait bien de faire des scanners de patients et d'être en contact avec eux. Je suis donc revenue satisfaite à Bordeaux !

  • Est-ce que vous avez une journée type dans vos activités ?

Au niveau organisation pratique, les lundis, mercredis et vendredis, l'IRM est ouverte aux patients et donc je suis sur la partie manip et les mardis et jeudis je les dédie à mes recherches.

Si je vais plus dans le détail, le lundi, j'arrive à l'IBIO, je toque au bureau de Thomas Tourdias pour savoir comment s'est passé son week-end et ensuite j'allume l'IRM et je fais le contrôle qualité du signal. Puis, comme tous les jours où je suis sur site, si j'ai des patients, je commence généralement à scanner dès 10h et jusqu'à 17h. Mon activité sur le temps machine est vraiment fonction du nombre d'IRM à faire passer. En ce moment, par exemple, j'ai un peu moins de patients, donc je monte dans mon bureau, que je partage avec Audrey Lavielle, ingénieure de recherche clinique au CHU, où je fais mes analyses d'images. Je profite aussi de ces moments pour assister aux visios et aux réunions d'équipe. J'aime bien cependant quand j'ai plusieurs examens car je reste dans la salle IRM. Après, quand j'ai moins de patients cela me permet aussi d'avancer sur mes différents projets. J'en ai généralement plusieurs en même temps donc je dois m'organiser ! Je peux faire de la SEP, en même temps que des neurotransmetteurs, ...

Aussi, toutes les deux semaines on a une réunion avec l'équipe Canon - un ingénieur chez Canon Europe et un ingénieur qui dépend du siège japonais. Ces réunions se font en visio mais quand on en a besoin, ils peuvent aussi être dépêchés sur site.

J'aime beaucoup participer à la journée scientifique du département. On rencontre plein de gens qui travaillent dans des domaines différents du nôtre et c'est très enrichissant.

  • Qu'est-ce que vous appréciez le moins dans votre travail ?

Ce que j'aime le moins c'est faire le ménage dans la salle d'IRM ! Au-delà, il y a aussi certainement la partie administrative de mon poste qui me porte un peu moins même si j'ai aimé monter le dossier pour une demande de cdisation de mon support. J'ai beaucoup apprécié construire le budget et argumenter des financements pérennes. C'est une tâche administrative qui m'a plutôt plu finalement. Il y aussi le contrôle qualité que je n'aime pas. Cela consiste à regarder image par image si la qualité est bonne pour l'analyse : est-ce qu'il y a un bougé, est-ce qu'il y a un artefact... quand on a 75 patients cela peut être un peu fastidieux comme activité...Mais bon c'est obligatoire, il faut bien en passer par là !

  • Quels sont les aspects que vous aimez le plus dans votre métier ?

J'aime vraiment ce poste car il est varié : je fais de l'analyse de cerveau, de moelle... Reste que ce que préfère c'est le contact humain. Cette partie de mon travail qui se fait vraiment au plus près des patients est sans doute ce que j'affectionne le plus dans mon métier et que je ne lâcherais pour rien au monde ! Les patients, ce sont des amours. Ils donnent du temps sur des études qui n'ont pas nécessairement une utilité pour eux. Parfois, certaines études peuvent participer à améliorer leur prise en charge. C'est le cas par exemple d'une séquence SEP que nous avons développée ici et qui permet de voir de nouvelles lésions qui n'étaient pas détectables auparavant. Cette séquence est aujourd'hui utilisée par les neurologues de l'hôpital et a donc une utilité réelle pour les patients suivis. Toutefois, la plupart du temps, les malades qui viennent en examen à l'IBIO, n'ont pas d'avantage direct à participer aux études. Pour les patients atteints de la maladie d’Alzheimer notamment on fait de la caractérisation ce qui n'a pas d'effet immédiat sur le traitement de la pathologie. Pour ce genre de protocoles cliniques, les patients participent de manière totalement volontaire. Ce qui les motive à venir c'est de faire progresser la connaissance sur leur maladie et aider à terme d'autres malades. 

Ce qui me plaît beaucoup en particulier, c'est quand j'ai des patients compliqués pour qui il est difficile de faire des IRM. C'est le cas des patients avec tremblements. Quand j'arrive à sortir de belles images, je suis heureuse de voir que non seulement les médecins sont satisfaits mais aussi que les patients sont contents. Ils ont la trouille souvent. Ils se disent que cela va mal se passer et qu'ils ont besoin absolument de leur IRM. Quand ils sortent et que je leur dis qu'ils ont bien travaillé et que leurs images sont jolies, alors ils sont tout contents et j'aime les voir heureux.

  • Et dans 10 ans, vous vous voyez où ?

Là où je suis, en CDI ! J'aime travailler avec Thomas Tourdias. Notre collaboration se passe très bien et c'est agréable. Peut-être que j'aimerais avoir un peu plus de responsabilités à terme. Je commence à me faire un peu de réseau ce qui me permettra de prendre un peu d'ampleur dans le futur. Je voudrais aussi passer mon Habilitation à Diriger des Recherches (HDR) pour pouvoir encadrer des doctorants et des doctorantes. On en a déjà un peu discuté avec Thomas. L'idée serait de commencer à diriger des thèses en cotutelle afin de que je me forme progressivement à la direction et puis au fur et à mesure je prendrai en charge seule des étudiants et des étudiantes.

  • Qu’est-ce que le département STS vous apporte au quotidien ?

Déjà techniquement je travaille pour le département STS. Ensuite, j'aime beaucoup participer à la journée scientifique du département. On rencontre plein de gens qui travaillent dans des domaines différents du nôtre et c'est très enrichissant. Je regarde aussi pas mal du côté des AAP internes annuels qui permettent de financer des mobilités, des projets ou des congrès. Pour le coup je ne changerais pas de département !

  • Et pour terminer, une anecdote à partager ?

J'en ai plein ! Quand on travaille au contact des patients, on a de nombreuses histoires à raconter surtout avec ceux qui sont un peu désinhibés ! Il y a aussi le fait qu'étant claustrophobe, j'ai beau être ingénieure IRM, je suis incapable de rentrer dedans ! C'est quand même un comble d'adorer cette technologie mais de ne pas réussir à entrer dans l'appareil. Cela fait rire les personnes que je scanne. Cela permet aussi de les rassurer de voir qu'ils ne sont pas seuls à appréhender ce type d'examen. Ce que je fais d'ailleurs avec ces patients claustrophobes, c'est que je fais rentrer quelqu'un dans la salle qui leur tient la jambe ou la main. Cela fait toute une différence pour eux. Cela les apaise et on arrive à faire les images. Par contre, cela ne marche pas du tout avec moi ! 

Il y a aussi une bonne ambiance dans l'équipe. On rigole bien entre nous. Je fais des poissons d'avril à Thomas tous les ans. Ils se préparent d'ailleurs pour la farce de cette année !

 

Interview réalisée par Alexandra Prevot et Clémence Faure

Crédits photos : Clémence Faure, département STS, université de Bordeaux